Sovereign AI Inference Needed as Data Centers Become War Targets
I’ve been talking to everyone that will listen for months now that centralized data centers will be a top target in time of war. America needs its own sovereign inference infrastructure.

Coal Region Gets First Renewable Energy Zone Upgrade
Construction begins on coal country renewable energy zone, state’s first to upgrade existing network #energysky -- via Renew Economy: https://t.co/QVh6PXe4kM https://t.co/AG69igRzQk
AI Catches My Tangents, Keeps Presentations On Track
I'm speaking to LIV Sotheby’s International Realty this week and ran my talk track through Claude I asked it to point out anywhere I went off on a tangent or lost the flow (probably the most common mistake I make) Maybe...
LA Metro Land Value Doubles National Average at 68%
In the Los Angeles–Long Beach–Anaheim, CA metro, land accounts for 67.7% of the total property value. That's 2X the national average. If you’re not already following ResiClub on X, show your support: @ResidentialClub https://t.co/n4Tlenhfco
Middle East Conflict Spikes Oil, Lifts Dollar, Drags Dow
Further to the prior post: A classic initial market reaction to this weekend’s eruption of military conflict in the Middle East: Oil has surged over 10%, the Dollar has strengthened, and Dow futures have opened down some 500 points. #economy #markets #oil...
Crude Jumps 8% As
Not a terribly surprising open. Crude up 8%. SPooz off 1% and USTs up solidly bid but selling into best levels.

Oil Prices Surge: Brent Up 9%, WTI Up 8%
Brent crude oil +9% to $79 WTI crude oil +8% to $72 RBOB gasoline futures +5% to $2.42 https://t.co/Z7uoT3rHYZ

Optimized Airflow Boosts Both Crop Yields and Solar Output
How airflow modifications in agrivoltaics affect crop yield, energy output #energysky -- via pv magazine global: https://t.co/IgahbosKJ6 https://t.co/mCFJfmuIGC

Nearly One‑Fifth of California Property Transfers Are Inherited
Wild stat: “~18% of all property transfers in California last year were made through inheritance.” https://t.co/LPI84VU4Uh https://t.co/oHzRbjVzOn
Hedge Funds Care About Clean Energy's Cost Advantage
Trivia: The first time I gave a talk that said clean energy was just going to win on cost, with hardly a mention of climate, was at a @Scaramucci SALT conference. I just figured hedge fund managers would care a...
Clean Energy Now Cheaper Than Fossil, Outpacing Military Budgets
It's always been the case that the way we win on climate is just to make clean energy the cheapest option. That trend has been clear for 15+ years. Now that crossover is happening. Policy still matters, but the most...
Vaccine Policy Shifts Spark Resurgence of Deadly Diseases
But also it’s not only measles, pertussis (whooping cough) is also returning, and based on latest ACIP (or what used to be ACIP) stunts, we’ll see rotavirus, meningococcal meningitis, HBV liver cancer, return after that. A public health disaster built...

Oil Prices Set to Drop, Fueling Roaring 2020s
YARDENI: “.. in our short-war scenario, oil prices should fall in the coming weeks after a ceasefire .. boosting US consumer spending and benefiting global economies .. The weekend’s Middle East developments make us even more confident in our Roaring...

Cohere Poised to Become AI Powerhouse, IPO Possible
Is Cohere the Next AI Powerhouse? I sat down with co-founder Nick Frosst to talk about enterprise models, why chat changed everything, and whether an IPO is on the horizon. Watch Here: https://youtu.be/JqGAQMYwuzQ?si=JS3OpcK1egyIAeFg
Trump Honors Pilot Tied to Maduro Capture Mission
Our take on a real hero: The Army pilot on whom President Donald Trump bestowed the Medal of Honor last week was celebrated for his actions that were partly responsible for the tactical success of the mission to capture Venezuelan...

Estimated $18/Bbl Risk Premium for March 1 Oil Opening
GS: Taking Into Account Estimated Weekend Market Pricing, We Estimate a Risk Premium of Around $18/bbl on the March 1st Oil Market Open https://t.co/vtpc8AfijE
US Army Sustainment Unit Killed in Kuwait Deployment
Can confirm with @TaraCopp @AlexHortonTX that the U.S. troops killed overnight were with a sustainment unit deployed to Kuwait, according to two U.S. officials. One of them adds that they were in the Army. Details previously were reported by NBC...
Iran's Disgraceful Handling of Ukrainian Jet Incident Strains Relations
I was just remembering how before the full-scale invasion Ukrainian diplomats told us journalists off the record that officials from the ayatollah regime in Iran behaved absolutely disgracefully during negotiations over the Ukrainian passenger jet downed over Tehran. They refused...
Texas, Florida, California Lead; Who Ranks Fourth?
The biggest three states for existing home sales are 1. Texas 2. Florida 3. California Who is #4?
Pentagon Still Silent Since Dec 2, Even for Right‑Wing Press
Still no briefing at the Pentagon since Dec. 2. Not even for its replacement, right-wing press corps.
UK Greenlights US Strikes on Islamic Regime From Its Bases
UK approves U.S. military request to use their bases to strike Islamic Regime military targets (missile launchers, missiles, etc.) as a defensive measure to protect other nations.

Digital Infrastructure Becomes Battlefield; Resilience Requires Multi‑Geography Strategy
From fiber cuts to alleged missile strikes on datacenters, digital infrastructure is now part of the battlespace. That’s why the space domain matters. Resilient connectivity and compute can’t depend on a single geography. Data centers, fiber, satellites — this is all national...

US Housing Market Splits Amid Ongoing Weather Impacts
Another shocking example of the divided US housing market. I believe a lot of this is still showing weather effects from early in the month. But still... https://t.co/Ze7mUcxJS4
CIA Intel Enabled Israel's Early Strike on Iran's Leadership
The C.I.A. Helped Pinpoint a Gathering of Iranian Leaders. Then Israel Struck. @nytimes https://t.co/LrwnfpnKMi The information provided a window of opportunity for the two countries to achieve a critical and early victory: the elimination of top Iranian officials and the killing...
Steel Becomes Central to Modern Solar Project Design
The redefined role of steel in solar energy projects #energysky -- via pv magazine global: https://t.co/1rSfmuEAf3

Iran's Inaccurate Missiles Threaten Jerusalem's Sacred Sites
The Islamic Regime in Iran is recklessly firing missiles/drones at Jerusalem, despite well documented accuracy limitations in parts of its ballistic missile arsenal. Jerusalem is home to more than 1 million people and contains sacred sites of three religions: the...
Strait of Hormuz Turns War Zone, Shipping Halts
Here’s what we know so far… The First 36 Hours: Strait of Hormuz Becomes a War Zone, Tankers Hit, Shipping Giants Halt Gulf Transits https://t.co/Qu1u29WNZb
New PrSM Missile Extends US Strike Reach in Iran
America’s New PrSM Ballistic Missile Just Made Its Combat Debut In Iran Strikes PrSM can fly hundreds of miles further than its predecessor ATACMS, allowing for a far broader set of targets in Iran to be held at risk. https://t.co/IPxRrH0UQE
Commodities Surge, Euro Slides: Brace for Volatile Open
IG pricing US Crude up around $10 to $77.26 Gold up around $111 to $5,385 EURUSD down 64 pips to 1.1751 Strap in. This is going to be a wild open.

Draft CA HSR Plan Slashes $105B Cost via Existing Rail
CA HSR just released its draft business plan, which proposes using existing rail, removing 26 miles of tunneling in exchange for upgrading and electrifying existing Metrolink infrastructure. The new plan would save $105 billion, compared to the current full-build estimate...

Banking Revolution Explored: New Episode with Jason Henrichs
Folks who enjoyed today’s newsletter on the rapidly changing banking ecosystem should listen to this ep of @Breakingbanks1 (as seen on HBO, IYKYK) with @jasonhenrichs — https://t.co/MuzhnOMJtq
Sarandos Calls Paramount’s Offer Irrational, Fueled
Netflix Boss Ted Sarandos Speaks Out After Losing Warner Bros. Bid: Paramount Offers Were ‘Irrational,’ Relied on Political Pressure Because it’s ‘Cheaper to Make Noise’ https://t.co/lSMiTSgKnA
Space Data Centers Offer Sustainable, Resource‑Free Computing
Great to see @FT exploring the complexities of orbital data centres & our work w/ @Google on Suncatcher. Just a quick response here. Generally, space-based AI is a lofty goal, but it's a more sustainable long-term solution in comparison to...

NMN Restores NAD, Shields Heart via SIRT3
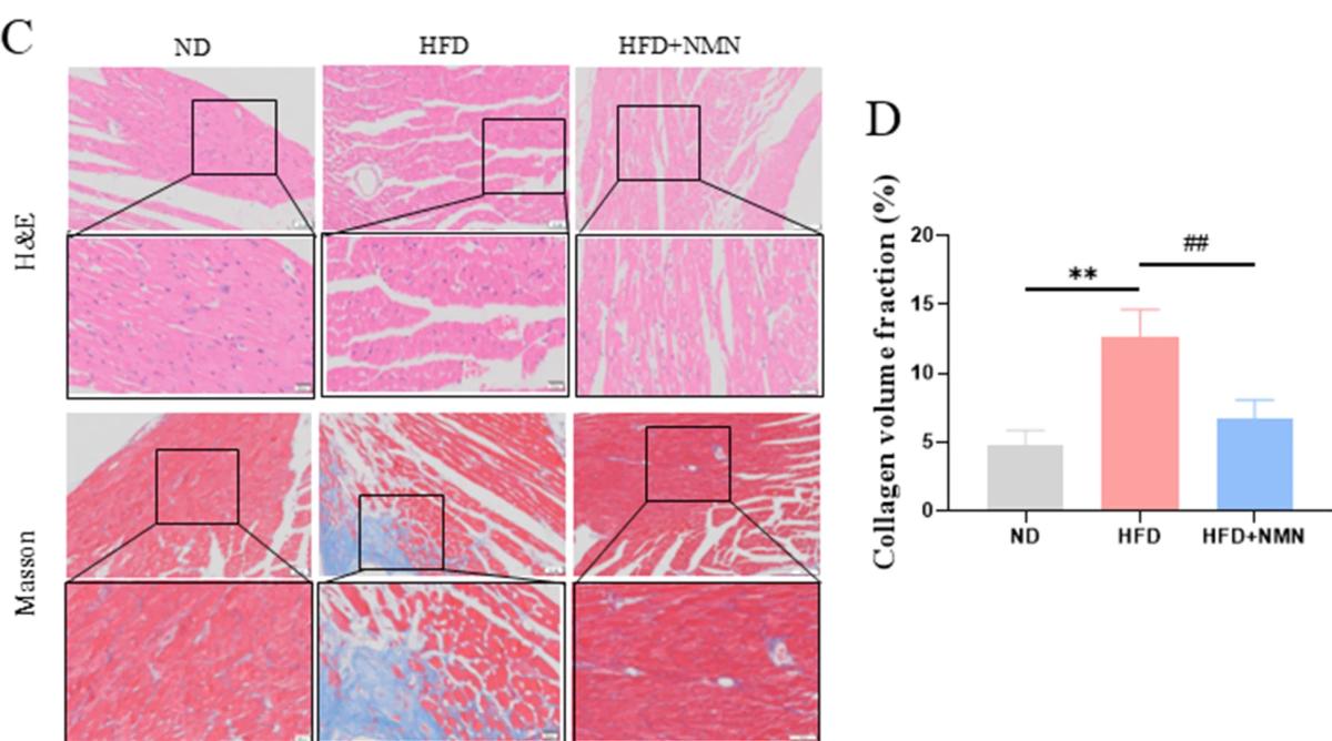
According to ITOA, NAD declines with age, causing epigenetic changes & disease susceptibility In 2010, we showed NAD-dependent enzyme, SIRT3, protects the heart 🐁 New study says NAD precursor NMN protects the heart via SIRT3 in mice fed a Western diet https://www.sciencedirect.com/science/article/pii/S0022316626000842
Use a 1.5× DSCR to Fund $2‑3M Deals
The one number that unlocks business acquisition finance: DSCR — Debt Service Coverage Ratio Formula: EBITDA ÷ Annual Debt Repayments Lenders want ≥ 1.5x What this means: For every $1 you owe the bank, the business earns $1.50. Find a business with $500K EBITDA? You can service...
NMH Approval Still Unclear as Deadline Passes
So - conscious that things have been a bit hectic elsewhere these past 48 hrs - but did #NMH actually get signed off? Any official announcement given deadline was today?
Marathon's Gripping Pull: Surviving Two Runs Sparks Endless Play
Played three hours of Marathon last night, maybe only made it out alive in 2 runs. Woke up and wanted to play more. Which is an insane reaction to have that most players probably won't share. https://t.co/iSr82qzDdw

Anonymous Objectors Ship Massive Battery to Regulator
Big battery sent to independent regulator by far-flung, anonymous objectors #energysky -- via Renew Economy: https://t.co/ufCyhnE8bZ https://t.co/iFqExlpy6S
CBA Flags AI‑generated Loan Fraud, Alerts Authorities
Leaving this here “It comes as CBA..grapples w/the onset of AI technologies. The bank in the midst of rolling out AI systems across its business banking, communications & fraud-detection operations. In March 2025, CBA invested in AI firm Anthropicto drive...

SOFI's Explosive Growth Undermined by Inflation Fears
$SOFI - Lending Revenue $267M ➡️ $1.85B - Tech Platform $0 ➡️ $450M - Financial Services $1M ➡️ $1.54B - Members 652K ➡️ 13.65M - Lending Originations $11.7B ➡️ $36.4B But sure, sell the stock because inflation is a bit higher, or you don't like the...

Lease Incentives Impact Yield and Refinancing Strategy
Retail landlords: TI vs. Free Rent isn’t just negotiation — it’s balance sheet strategy. TI = upfront capital out. Free rent = delayed income. Both reduce effective yield. But they affect refinancing and liquidity differently. In today’s lending environment, structure matters more than optics. If you’re...

Latest Mobile & Wireless Insights in Roundup #171
Published Mobile & Wireless Roundup No. 171, covering my latest posts and news that caught my eye recently. If you find it useful, please like, comment or share. https://t.co/Bl1ZWA7UdD #3G4G5G #Telecoms #Mobile #Wireless #Newsletter #MWC26 #6G #5G #LTE #OpenRAN #AIRAN #Spectrum #Private5G...
Europe Seizes Russian Shadow Fleet Tanker After Four Years
Why are European countries just now standing up to Russia's oil revenue and shadow fleet after the war just crossed its 4 year anniversary? What has changed? Has the US done more to help Ukraine in the last year than...

Leaders Balance Acceptance, Accountability, and Performance
#TimTalk - How do leaders balance acceptance with accountability and performance? with Mau Espinosa https://t.co/djlZ0UG9GW via @DLAIgnite #SocialSelling #DigitalSelling #Sales #Leadership #Culture #Motivation #Marketing #Success #Entrepreneur #Management https://t.co/t5Q67eQA37
Sar
Ted Sarandos to @Lucas_Shaw: "Once it was clear that we weren’t in the CNN business, it was a lot less interesting. He didn’t care that much more about our deal." https://t.co/0CAfEi37Ws
Retiring Owners Value Trust over Price in Exits
What retiring business owners actually want: • To know their staff will be looked after • To feel proud of who they sell to • A clean exit with no complications • Someone who "gets" their industry • Monthly payments that feel like a pension Notice...

Erdoğan Blames Netanyahu for US‑Israeli Strikes, Calls Ceasefire
#TurkeyWatch 🇹🇷: President Erdoğan said Netanyahu’s “provocations” triggered the US–Israeli strikes on Iran. Erdoğan said that Israel is “poisoning the process,” and urged an immediate ceasefire to prevent a wider regional war. https://t.co/y2YtJLqeUy
Netflix Quit Warner Bid After Paramount's Final Offer
Ted Sarandos says Netflix knew it would pull out of the Warner Bros bidding as soon as it saw the final Paramount offer. We spent 40 minutes on Saturday discussing why Netflix didn’t match and what the Paramount deal means...
B‑2 Bombers Target Iran’s Underground Missile Caves
B-2 Spirits Join Iran Air War, Pummel Underground Missile Caves The arrival of the B-2s marks a change in the air campaign and will put certain target sets at greater risk as the operation expands. https://t.co/K24rBVFjmR

Critical Strait of Hormuz: Multiple Attacks Slash Transits
The @CMF_Bahrain Joint Maritime Information Center's has released their new advisory for the Strait of Hormuz as of 1 March 2026. The situation is deemed CRITICAL. They had three confirmed incidents in the past 24 hours: 1️⃣SKYLIGHT at anchor south of Hormuz, abandoned...