
Shah Rukh Khan-Saif Ali Khan’s Kartavya Locks May 15 Netflix Premiere: Report
Saif Ali Khan is set to return to Netflix with the crime drama *Kartavya*, which Variety India reports will premiere on May 15 2026, though Netflix has not formally confirmed the date. The film is produced by Shah Rukh Khan’s Red Chillies Entertainment and directed by Pulkit, marking a reunion of the two stars after 23 years. Supporting talent includes Rasika Dugal, Sanjay Mishra, Zakir Hussain and journalist‑turned‑actor Saurabh Dwivedi. *Kartavya* joins Saif’s expanding Netflix slate, which also features *Hum Hindustani* and follows his acclaimed cop role in *Sacred Games*.

Minor Hotels to Launch Private Jet Experience – Exclusive
Minor Hotels announced that its Anantara luxury brand will roll out a private‑jet experience, targeting a 2027 launch. The service aims to create seamless, end‑to‑end journeys for affluent guests, complementing existing transport offerings such as riverboats across its Southeast Asian...
Rejection Fuels Growth: Divine Timing Brings Opportunities
From December - March I wasn't compensated for my work in Miami Art Week, I was rejected for 2 residencies, 1 major proposal for ATL, 2 Job opportunities, rejected from Grad School and had to turn down a gallery job,...

EXCLUSIVE: Raja Shivaji to Release with Different Runtimes in Hindi and Marathi; Hindi Version Shorter by 8 Minutes
Raja Shivaji, starring Riteish Deshmukh, will debut on May 1 in two language versions—Marathi and Hindi. The Hindi cut is certified at 187.05 minutes, while the Marathi version runs 195.05 minutes, making the Hindi edition eight minutes shorter. Both films...
Global Deforestation Slows, W.R.I. Report Finds. But Wildfires Are Taking a Toll.
The World Resources Institute reported that global tree loss dropped 14% in 2025, falling to roughly 63 million acres, driven mainly by gains in tropical forest protection. However, wildfires burned about 26 million acres—nearly the size of Cuba—erasing much of the progress....

Lost Copy of Seventh-Century Poem in Old English Discovered at Rome Library
Scholars from Trinity College Dublin have uncovered a previously unknown ninth‑century manuscript of Caedmon’s Hymn in Rome’s National Central Library, marking the third‑oldest surviving copy of the earliest English poem. The manuscript, likely transcribed by an Italian monk between AD 800‑830,...

Graphene Instead of Silicon? Simulations From Kiel Show Light-Controlled Electrons in the Femtosecond Range
Researchers at Georgia Tech and Tianjin University reported semiconducting epitaxial graphene on silicon carbide with a 0.6 eV bandgap and carrier mobility above 5,000 cm² V⁻¹ s⁻¹. In September 2025, the University of Kiel simulated femtosecond laser pulses that can locally excite electrons in graphene...

10 Posts From the Book Blogosphere You May Have Missed in April 2026
The April 2026 "Missed Posts" roundup spotlights ten diverse literary blog entries, ranging from the Orangutan Librarian’s AI‑slop commentary to Cuppa Clo’s 2025 statistics transparency report. It also highlights Pages Unbound’s own discussions on library design, fantasy subgenres, and character...
Calm Mind, True Strength: Ancient Wisdom Endures
Marcus Aurelius wrote this over 1800 years ago: “The nearer a man comes to a calm mind, the closer he is to strength.”

‘Kissing Bugs’ Bite Can Cause Heart Disease. Here’s What Hikers Need to Know.
Kissing (triatomine) bugs, now documented in 29 U.S. states, carry the parasite Trypanosoma cruzi that causes Chagas disease. Roughly half of the bugs collected in the United States are infected, and their painless bites can transmit the parasite via feces...

Why Rapid Fat Loss Causes Diabetes and Liver Disease
New research on the rare lipodystrophy disorder and animal models shows that losing functional fat cells, whether through genetics or rapid weight loss, disrupts glucose control, raises triglycerides and floods the bloodstream with non‑esterified fatty acids. Damaged mitochondria and inflammatory...
Tesla’s Make-or-Break Play
Tesla has sold only 347 vehicles in India nine months after its market entry, far behind rivals like BYD, which moved 1,100 units in the same period. To boost sales, the company launched the Model Y L, a six‑seat SUV priced at...

Toy Story 5 Director Gives Exciting News on Part 6 & More
Toy Story 5 is slated for a June 19, 2026 release, and director Andrew Stanton revealed that early brainstorming has already generated enough material for at least one more feature, Toy Story 6. Stanton explained that the franchise’s unique ability to age...

GDT Podcast / Season 9 / Episode 2
The Givers, Doers, & Thinkers podcast’s Season 9, Episode 2 features Jeremy Beer interviewing business leader and philanthropist Rob Hays. Hays reflects on the setbacks that built his resilience and how those experiences shape his approach to charitable giving. The discussion highlights...
Investing in Yourself Unlocks New Possibilities and Confidence
I actually remember the first time I invested in myself… I genuinely thought I was being irresponsible. Like, you want me to spend money to go to a conference? For what 😭 It literally took pulling teeth to get me there....

What Are Peptides And Why Is Everyone Talking About Them?
Peptide therapies, short chains of amino acids that act like hormones, have surged in popularity as wellness supplements promising vitality and longevity. The most clinically vetted peptide, GLP‑1, is now used by roughly 10 million Americans for obesity and appetite control,...

3 Ways To Make Chicken Salad A Little Sweeter
Recipe blogger Joanne Gallagher advises sweetening chicken salad with fruit, highlighting three easy methods: diced apples for crisp tartness, dried cranberries (Craisins) for a chewy tangy‑sweet pop, and seedless grapes for juicy bursts. She stresses balancing sweet elements with celery,...

Bhoot Bangla Box Office Collection Day 12 Live Updates: Akshay Kumar Film Sees 19.2% Growth, Rolls Out Buy 1 Get...
Akshay Kumar’s horror‑comedy *Bhoot Bangla* posted a net collection of ₹4.35 crore (~$524 k) on Day 12, marking a 19.2% rise from the previous day. The film’s worldwide gross now stands at ₹195.25 crore (~$23.5 million), with overseas earnings of ₹51 crore (~$6.1 million). A Buy‑One‑Get‑One ticket...
Parenthood Turns Everyday Life Into Real‑Time Thriller
One thing I found recently is that I can’t watch suspense dramas anymore. Now that my kids are doing really challenging work… daily life feels like the ultimate cliffhanger. Will by son pass his instrument rating check flight? Will he join the...

Secret of Adulthood: The Days Are Long, But the Years Are Short
Gretchen Rubin recounts how a simple observation on a school bus—“The days are long, but the years are short”—became her most quoted aphorism. The line, born from watching her daughter Eliza’s daily commute, captures the paradox of everyday fatigue versus...
Changing a Book’s Release Date Creates Logistical and Marketing Chaos
Moving a pub date means a logistics nightmare. It happens but not generally as in "let's pull this from October and move it to April." Not only are distributors and bookstores going to be irritated if you change your dates,...
Swept-Source Optical Coherence Tomography Angiography May Predict Diabetic Nephropathy
A Harvard‑based study published in the July issue of the American Journal of Ophthalmology shows that swept‑source optical coherence tomography angiography (OCTA) can serve as a non‑invasive biomarker for diabetic nephropathy. Researchers analyzed 375 eyes from 234 diabetic patients and...

Hotel Stay Offers New Way to Support Animal Welfare in Northeast Japan
A new concept room at Yunomori Hotel Shidotaira in Hanamaki, Iwate, will let guests support animal welfare by staying in a nature‑themed space. The project, backed by Morioka Zoological Park Zoomo, seeks ¥5 million (≈ $31,300) through a crowdfunding campaign ending May 24....

‘Harry Potter’ Star Leaves the Fantasy World Behind for New Star-Studded Thriller
Collider has released an exclusive interactive "Sorting Hat" quiz that lets readers discover which Hogwarts house they belong to. The eight‑question personality test mirrors the iconic ceremony from the Harry Potter films, assigning users to Gryffindor, Slytherin, Hufflepuff or Ravenclaw....

Adam Sandler’s 16% RT Movie Beats Denis Villeneuve’s Sci-Fi Epic on Free Streaming
Adam Sandler’s 2014 romantic comedy Blended has risen to the number‑one spot on Pluto TV’s U.S. streaming chart, overtaking Denis Villeneuve’s Oscar‑winning sci‑fi drama Arrival, which sits at second. Despite a 16% Rotten Tomatoes rating, Blended’s modest $40‑45 million budget turned...

The Most Important Questions To Ask Your Fishmonger, According To Andrew Zimmern
Andrew Zimmern tells shoppers to interrogate fishmongers about arrival time, freeze status, catch location, and method before buying. Fresh fish should have been delivered within one to two days, while frozen varieties have specific shelf‑life windows. He notes that the busiest...
Promote Your Books in Crises: Offer Readers Joy
Never feel bad about promoting your books, even and especially in moments of crisis. One, the people creating the crisis want you demoralized and on your back foot. Deny them. Two, people caugh in crisis need their moments of joy...
Camus Explores Will to Live and Life’s Core Question
Albert Camus on the will to live and the most important question of existence https://t.co/X3GrSBRXAt
Jazz Pharma’s Ziihera Combos Get FDA Priority Review for First‑line HER2‑positive Gastric Cancer
Jazz Pharmaceuticals announced that the FDA has accepted its supplemental Biologics License Application for Ziihera (zanidatamab‑hrii) combinations and placed the filing under priority review. The decision sets a PDUFA target action date of August 25, 2026, and follows breakthrough‑therapy designation...
Brains Outlearn AI: Evolution and Powerful Neurons
Human brains are able to learn from much less data than current machine learning algorithms. The possible reasons include these three and more: 1. Evolution gives us a head start on certain domains. 2. Each human neuron likely does orders of magnitude...
2025 Forest Loss Drops as Deforestation Controls Take Effect
Forest loss declined significantly in 2025, thanks to countries curbing deforestation and a lull in wildfires in some parts of the world https://t.co/jEvadYGk72

The Marshmallow Test Revisited: Turn Patience Into Profit
The blog revisits the classic Marshmallow Test to argue that wealth creation hinges on engineered systems rather than raw willpower. It highlights research showing environment and smart strategies trump discipline, and proposes high‑yield savings accounts (HYSAs) as a behavioral tool...

Progress Often Feels Like Setback Before Success
Growth often looks worse before it looks better. A Rubik’s cube can seem more scrambled in the middle of a solve, even when the solver is getting closer. https://t.co/6DTF7kZqZb
Origami‑Inspired Tent Harnesses Snow for Warmth
Origami Meets Survival: A Tent That Uses Snow to Keep You Warm by @IntEngineering #EmergingTech #Engineering #Technology https://t.co/LfmBZqHrdv
Concert Tourism Triggers 60‑80% Hotel Occupancy Surges in India's Tier‑II Cities
Concert‑driven travel is turning India's tier‑II cities into short‑burst hospitality hotspots, with hotels seeing 60‑80% occupancy jumps and up to $1.8 million in weekend revenue. The trend reflects a broader shift toward experience‑led tourism and a new revenue engine for the...
Consistent Effort Wins in Slow Markets and High Quotas
Slow market + high quota = opportunity for those willing to stay consistent. In this episode, Meridith Elliott Powell and I break down how to keep momentum, build trust, and win in tough conditions. Stay active. Stay focused. Keep showing value. https://t.co/ZfOWu03zHs

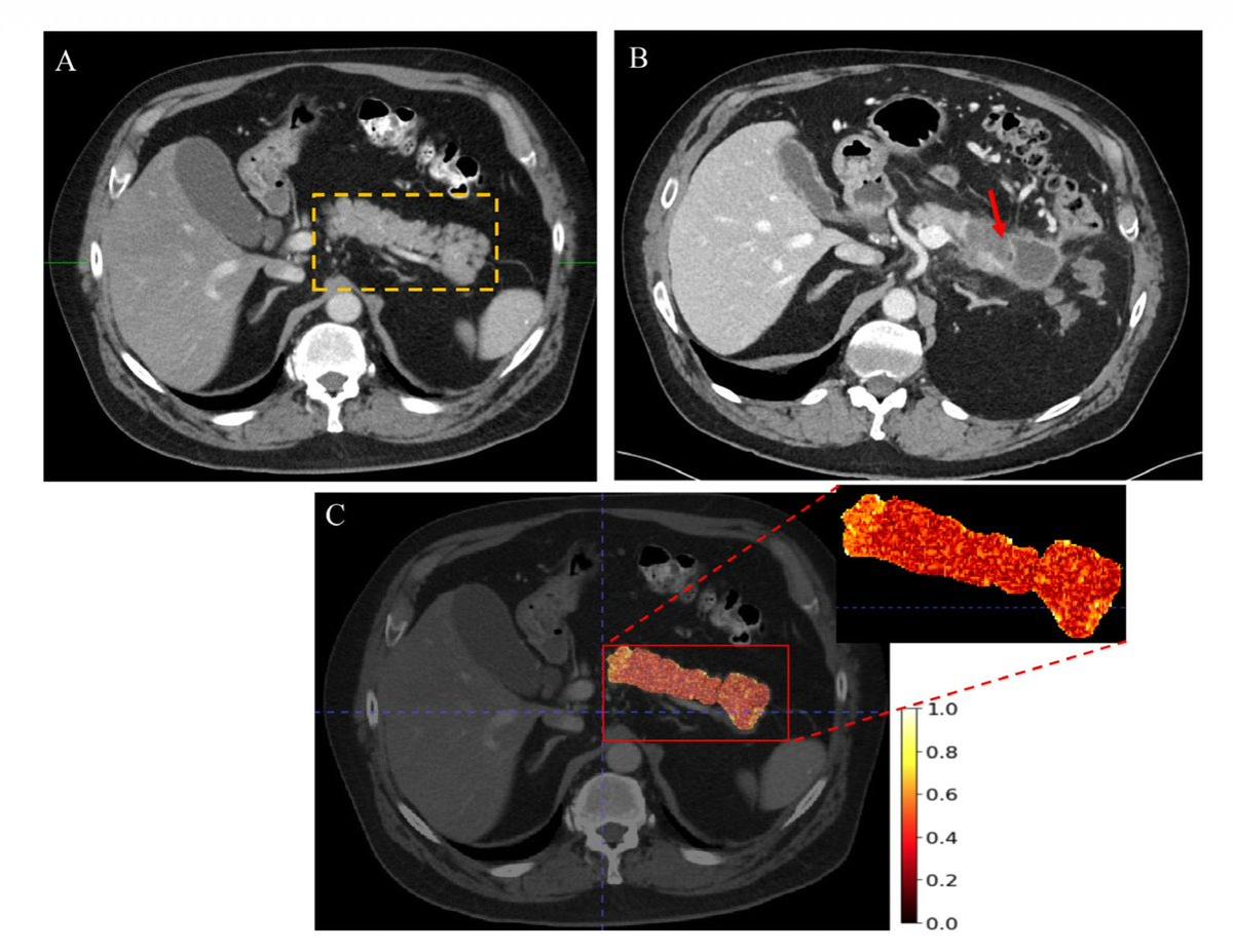
AI Detects Hidden Pancreatic Cancer at 73% Accuracy
An AI that detects occult pancreatic cancer better than radiologists (73 vs 39%) via CT with external validation https://t.co/NIiIFjlyxp https://t.co/8aVAmy0eFl
Louis Vuitton Debuts Temporary Monogram Hotel in London’s Mayfair
Louis Vuitton has launched a pop‑up Monogram Hotel in London’s Mayfair, open from April 24 to June 21 at 28 Berkeley Square. The temporary townhouse celebrates the brand’s 130th anniversary and turns iconic luggage designs into immersive hospitality spaces.

A Full Heart and Ego‑free Mind Spark Joy
When your heart is full and your mind is free of yourself, your feet will Dance. #SadhguruQuotes https://t.co/1GlQRqJ1FO
Autonomous Labs Essential to Preserve US Scientific Leadership
If the US is going to keep our lead in science we need autonomous labs. Awesome leadership from @ScienceUnderSec and the Genesis Mission !
Eli Lilly Inks AI Partnership with Profluent, Eyeing $2.25 B in Gene‑editing Milestones
Eli Lilly announced a collaboration with AI‑focused biotech Profluent to create advanced gene‑editing tools that could insert whole genes. The agreement may trigger $2.25 billion in milestone payments, highlighting Lilly’s rapid expansion into genetic medicines.
Half‑Read Kindle Deal Sparks Renewed Interest
US Kindle customers, great deal I read about half the book and liked it, need to pick it back up https://t.co/1fRjspeMAQ
MrBeast Production Companies Hit with Gender Harassment Lawsuit Over Maternity Leave Termination
A former employee has filed a lawsuit against MrBeastYouTube, LLC and GameChanger 24/7, LLC, claiming gender‑based harassment and retaliation after returning from maternity leave. The complaint alleges she was fired three weeks after her return, spotlighting workplace‑culture challenges in rapidly...
Michael Taylor & Steve Sillett Discover World’s 10 Tallest Douglas-Firs
Researchers Michael Taylor and Dr. Steve Sillett used advanced LiDAR processing to locate four of the ten tallest known coastal Douglas‑fir trees, including the world’s #4 and #5 specimens at 315.3 ft and 313.6 ft in Olympic National Park. Taylor rescued a...
China’s Renewables Top 60% of Power Mix as Q1 Adds 41 GW Solar, 16 GW Wind
China’s installed renewable capacity reached roughly 2.4 TW by March 2026, representing more than 60% of the nation’s total power capacity. In the first quarter, the country added 41.4 GW of solar and 15.8 GW of wind, pushing total power capacity to 3,960 GW....
True Anomaly Secures $650 Million Series D to Scale Jackal Space‑Superiority Platform
True Anomaly announced a $650 million Series D financing round, co‑led by Eclipse and Riot Ventures, to accelerate production of its Jackal autonomous satellite. The funding lifts the company’s valuation to $2.2 billion and brings total capital raised to $1 billion since its...
QuantX Labs Launches First Australian-Built Quantum Clock Into Orbit
QuantX Labs sent its TEMPO quantum clock to space aboard SpaceX's Transporter-16 mission, marking the first Australian-built optical atomic clock in orbit. The payload promises up to ten‑fold improvement over GPS timing and aligns with Australia’s $425 billion (≈$280 bn USD) defence...
South Korea's ETRI Boosts Quantum Processor Temps, Slashing Cooling Costs
South Korea's Electronics and Telecommunications Research Institute (ETRI) unveiled a topological‑insulator material that raises superconducting quantum computers' operating temperature to -272 °C to -269 °C. The breakthrough could reduce cooling expenses to one‑tenth of current levels and shrink equipment from container size...
:max_bytes(150000):strip_icc():format(jpeg)/1-7c491a0734454a3796d8cc37f73c62ba.jpg)
10 Biggest Mistakes to Avoid at Hotel Check-In and Checkout—And How to Make Your Stay Smoother
HotelTonight co‑founder Sam Shank outlines ten common check‑in and check‑out missteps and how to avoid them. He stresses questioning resort fees, requesting flexible arrival or departure times, and speaking up about room preferences. Shank also advises politely asking for free...

Situated Between Birmingham And Columbus Is An Alabama Lake City With A Charming Downtown And Scenic Camping
Alexander City, Alabama, sits less than two hours from Birmingham and Columbus and serves as a gateway to Lake Martin, a 41,000‑acre artificial reservoir. The lake’s 800‑plus miles of wooded shoreline support fishing, boating, and a range of camping options,...